Diş Eti Çekilmesi

Sayfa İçeriği
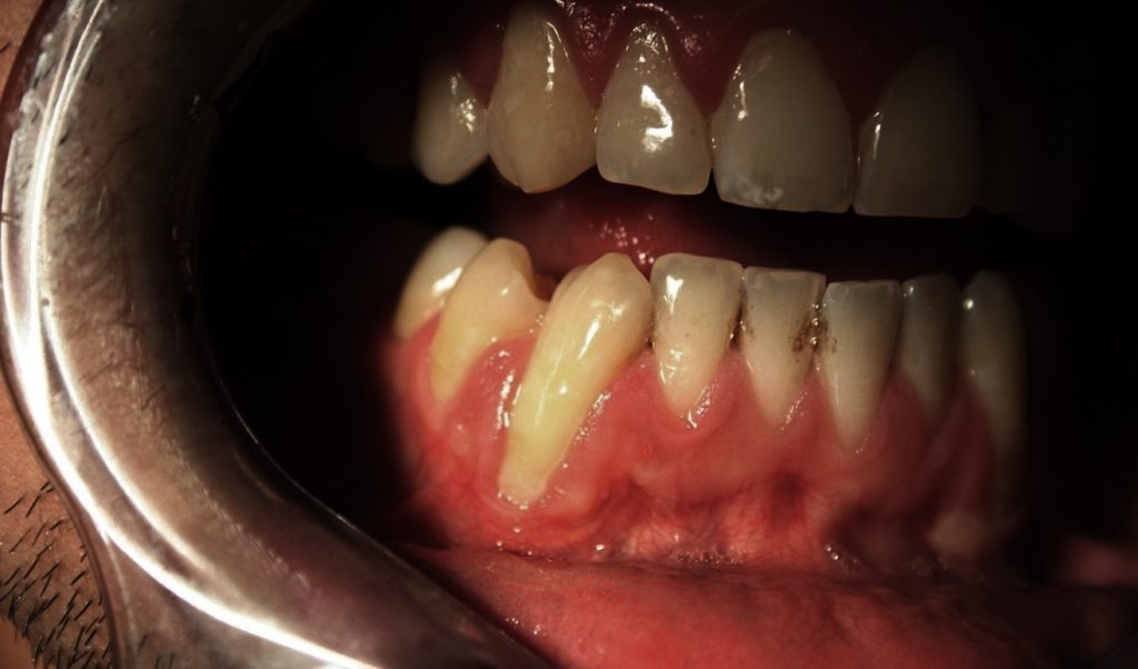
ToggleDiş Eti Çekilmesi Nedir?
Diş eti çekilmesi, dişlerinizi çevreleyen ve destekleyen diş etlerinin zamanla kök yüzeyinden uzaklaşarak diş köklerinin açığa çıkmasına neden olan bir durumdur. Bu çekilme, dişler ile diş etleri arasında cep adı verilen boşluklar oluşturur.
Bu cepler, bakterilerin birikmesi için uygun bir ortam sağlar ve enfeksiyon riskini artırır. Tedavi edilmediğinde, diş eti çekilmesi dişlerin gevşemesine ve sonunda kaybına yol açabilir.
Diş Eti Çekilmesinin Nedenleri
Diş eti çekilmesinin çeşitli nedenleri vardır. Bunlar arasında:
- Ağız hijyeninin yetersiz olması: Düzenli ve doğru diş fırçalama ve diş ipi kullanımı alışkanlıklarının olmaması, plak birikimine ve diş eti iltihabına (gingivitis) neden olabilir. Gingivitis tedavi edilmezse periodontitise dönüşebilir.
- Genetik faktörler: Bazı kişiler genetik olarak diş eti hastalıklarına daha yatkın olabilirler.
- Sigara ve tütün kullanımı: Sigara içmek, diş eti hastalıklarının en önemli risk faktörlerinden biridir. Sigara, diş etlerindeki kan dolaşımını bozarak iyileşme sürecini yavaşlatır ve diş eti çekilmesine katkıda bulunur.
- Hormonal değişiklikler: Özellikle ergenlik, hamilelik ve menopoz dönemlerinde yaşanan hormonal değişiklikler, diş etlerini daha hassas hale getirebilir ve diş eti çekilmesi riskini artırabilir.
- Diş sıkma ve gıcırdatma (bruksizm): Diş sıkma ve gıcırdatma alışkanlığı, dişlere ve diş etlerine aşırı baskı uygulayarak diş eti çekilmesine neden olabilir.
- Bazı ilaçlar: Bazı ilaçlar, yan etki olarak diş eti büyümesine veya diş eti çekilmesine neden olabilir.
- Sistemik hastalıklar: Diyabet gibi bazı sistemik hastalıklar, diş eti hastalıklarının gelişimini hızlandırabilir.
Diş Eti Çekilmesinin Belirtileri
Diş eti çekilmesinin erken evrelerinde belirtiler hafif olabilir veya hiç olmayabilir. Ancak hastalık ilerledikçe aşağıdaki belirtiler ortaya çıkabilir:
- Diş etlerinde şişlik, kırmızılık veya hassasiyet
- Diş fırçalama veya diş ipi kullanımı sırasında kanama
- Diş etlerinin dişlerden uzaklaşması ve diş köklerinin açığa çıkması
- Dişler arasında boşlukların oluşması
- Dişlerin daha uzun görünmesi
- Ağız kokusu (halitosis)
- Dişlerde sallanma veya yer değiştirme
Diş Eti Çekilmesi Tedavisi
Diş eti çekilmesinin tedavisi, durumun şiddetine ve nedenine bağlı olarak değişir. Erken teşhis ve tedavi, diş eti çekilmesinin ilerlemesini durdurmak ve diş kaybını önlemek için çok önemlidir. Tedavi seçenekleri şunları içerebilir:
- Derin temizlik (küretaj ve kök yüzeyi düzleştirme): Bu prosedür, diş eti ceplerinde biriken plak ve tartarın temizlenmesini içerir.
- Antibiyotik tedavisi: Enfeksiyonun kontrol altına alınmasına yardımcı olmak için antibiyotikler reçete edilebilir.
Diş Eti Çekilmesi için Cerrahi Yöntemler
Diş eti çekilmesi ameliyatı, ilerlemiş periodontitis (diş eti hastalığı) vakalarında veya estetik kaygılar nedeniyle başvurulan bir tedavi yöntemidir. Bu cerrahi müdahale, diş eti dokusunun yeniden şekillendirilmesi, kemik kaybının onarılması ve diş köklerinin korunması amacıyla gerçekleştirilir.
Diş Eti Çekilmesi Ameliyatı Türleri
Diş eti çekilmesi ameliyatları, farklı teknikler kullanılarak gerçekleştirilebilir. En yaygın ameliyat türleri şunlardır:
- Gingivektomi: Bu yöntemde, enfekte olmuş veya hasar görmüş diş eti dokusu cerrahi olarak çıkarılır. Diş kökleri temizlenir ve diş eti dokusu yeniden şekillendirilir.
- Flep Operasyonu (Cep Redüksiyonu): Bu işlemde, diş eti dokusu kaldırılır ve altındaki kök yüzeyleri temizlenir. Kemik kaybı varsa, kemik grefti uygulanabilir. Ardından diş eti dokusu yeniden yerine yerleştirilir ve dikişlerle sabitlenir.
- Diş Eti Grefti: Diş eti çekilmesi sonucu açığa çıkan kök yüzeylerini kapatmak için ağzın başka bir bölgesinden veya donörden alınan doku nakli yapılır. Bu işlem, diş köklerini korur ve estetik görünümü iyileştirir.
- Kemik Grefti: İleri periodontitis vakalarında görülen kemik kaybını onarmak için kullanılan bir yöntemdir. Kemik tozu veya sentetik kemik kullanılarak kemik yapısı yeniden oluşturulur.
Ameliyat Süreci:
Diş eti çekilmesi ameliyatı genellikle lokal anestezi altında gerçekleştirilir. Ameliyat süresi, uygulanan tekniğe ve tedavi edilecek bölgenin büyüklüğüne bağlı olarak değişir.
Ameliyat sırasında diş hekimi veya periodontist, gerekli cerrahi müdahaleleri yaparak diş eti dokusunu yeniden şekillendirir, kemik kaybını onarır ve diş köklerini korur.
İyileşme Süreci:
Ameliyat sonrası iyileşme süreci genellikle birkaç hafta sürer. Bu süre zarfında, ağız hijyenine özen göstermek, diş hekiminin önerdiği ilaçları kullanmak ve yumuşak gıdalarla beslenmek önemlidir.
İyileşme sürecinde hafif ağrı, şişlik ve hassasiyet görülebilir. Bu belirtiler genellikle birkaç gün içinde kendiliğinden geçer.
Ameliyat Sonrası Dikkat Edilmesi Gerekenler
- Ameliyat sonrası ilk 24 saat boyunca sigara içmeyin ve alkol tüketmeyin.
- Diş hekiminizin önerdiği ağız gargarası veya antiseptik solüsyonları kullanın.
- Dişlerinizi nazikçe fırçalayın ve diş ipi kullanın.
- Sert, yapışkan veya sıcak yiyeceklerden kaçının.
- Düzenli olarak diş hekimine kontrole gidin.

Diş Eti Çekilmesi İçin Hangi İlaç?
Diş eti çekilmelerinin tedavisinde, ilaçlar da kullanılabilir. Ancak, ilaçlar tek başına yeterli olmayıp, diş hekimi tarafından uygulanan diğer tedavi yöntemleriyle birlikte kullanılmalıdır.
- Antibiyotikler: Ağır diş eti enfeksiyonlarında, antibiyotikler reçete edilebilir. Bu ilaçlar, enfeksiyonu kontrol altına almaya yardımcı olur.
- Antiseptik Ağız Bakım Suları: Klorheksidin içeren ağız bakım suları, ağızdaki bakterilerin çoğalmasını engelleyerek diş eti sağlığını destekler.
- Ağrı Kesiciler: Ağrılı diş eti çekilmelerinde, ağrı kesici ilaçlar geçici rahatlama sağlayabilir.
Diş eti çekilmesi için net bir ilaç ismi paylaşmak doğru olmaz. Diş hekimi tarafından reçete edilecek olan ilacın kullanılması, iyileşme için önem arz eder.
Diş Eti Çekilmesine Evde Ne İyi Gelir?
Diş eti çekilmesi, erken dönemde fark edildiğinde ve uygun önlemler alındığında evde uygulanabilecek doğal yöntemlerle kontrol altına alınabilir ve hatta iyileşme sağlanabilir.
Ancak unutulmamalıdır ki, evde uygulanan yöntemler profesyonel diş tedavisinin yerini tutmaz ve ileri düzeydeki diş eti çekilmesi vakalarında mutlaka bir diş hekimine başvurulmalıdır.
Doğal ve Etkili Yöntemler
Tuzlu Su Gargarası:
- Bir bardak ılık suya yarım çay kaşığı tuz ekleyerek karıştırın.
- Bu karışımla günde 2-3 kez gargara yapın.
- Tuzlu su, antiseptik özelliği sayesinde diş eti iltihabını azaltmaya ve ağızdaki bakteri miktarını düşürmeye yardımcı olur.
Yağ Çekme (Oil Pulling):
- Bir çorba kaşığı susam veya Hindistan cevizi yağını ağzınızda 15-20 dakika boyunca çalkalayın.
- Yağı tükürün ve ağzınızı suyla çalkalayın.
- Yağ çekme, ağızdaki bakterileri ve toksinleri temizlemeye yardımcı olarak diş eti sağlığını destekler.
Bitkisel Çaylar:
- Yeşil çay, adaçayı veya papatya çayı ile günde birkaç kez gargara yapın.
- Bu çaylar, anti-enflamatuar ve antibakteriyel özellikleri sayesinde diş eti iltihabını azaltmaya ve diş etlerini güçlendirmeye yardımcı olabilir.
Aloe Vera:
- Taze aloe vera yaprağından jel kısmını çıkarın ve diş etlerinize masaj yaparak uygulayın.
- Aloe vera, anti-enflamatuar ve iyileştirici özellikleriyle diş eti çekilmesini önlemeye ve mevcut hasarı onarmaya yardımcı olabilir.
Çay Ağacı Yağı:
- Birkaç damla çay ağacı yağını bir bardak suya ekleyerek karıştırın.
- Bu karışımla günde 2-3 kez gargara yapın.
- Çay ağacı yağı, güçlü antiseptik ve anti-enflamatuar özellikleriyle diş eti iltihabını azaltmaya ve diş eti çekilmesini önlemeye yardımcı olabilir. Ancak saf çay ağacı yağı kullanmaktan kaçının, çünkü tahrişe neden olabilir.
Hindistan Cevizi Yağı:
- Bir miktar Hindistan cevizi yağını diş etlerinize masaj yaparak uygulayın.
- Hindistan cevizi yağı, antibakteriyel ve anti-enflamatuar özellikleriyle diş eti sağlığını destekler ve diş eti çekilmesini önlemeye yardımcı olabilir.
Diğer Önemli Noktalar:
- Ağız hijyenine özen gösterin: Dişlerinizi günde en az iki kez fırçalayın, diş ipi kullanın ve dilinizi temizleyin.
- Sigara ve alkol tüketiminden kaçının: Sigara ve alkol, diş eti çekilmesi riskini artıran faktörlerdir.
- Sağlıklı beslenin: Şekerli ve asitli yiyeceklerden kaçının, bol miktarda meyve, sebze ve lifli gıdalar tüketin.
- Stres seviyenizi kontrol altında tutun: Stres, diş eti hastalıklarının gelişimini hızlandırabilir.
Unutmayın, evde uygulanan yöntemler diş eti çekilmesini tamamen iyileştirmeyebilir. Bu nedenle, düzenli diş hekimi kontrollerini aksatmamak ve diş hekiminizin önerilerine uymak önemlidir.